www.sudzibas.lv Sky Dream Clinic Slikts ortodonts Veronika Avalejan

Sky Dream Clinic - Slikts ortodonts Veronika Avalejan

Es ļoti neiesaku ortodonti Veroniku Avalejanu! Ņemiet vērā, ka jums būs jāmaksā par viņas kļūdām, un administratori jūs nosūtīs uz citu klīniku, lai labotu savu ārstu kļūdas!
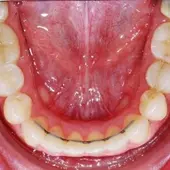
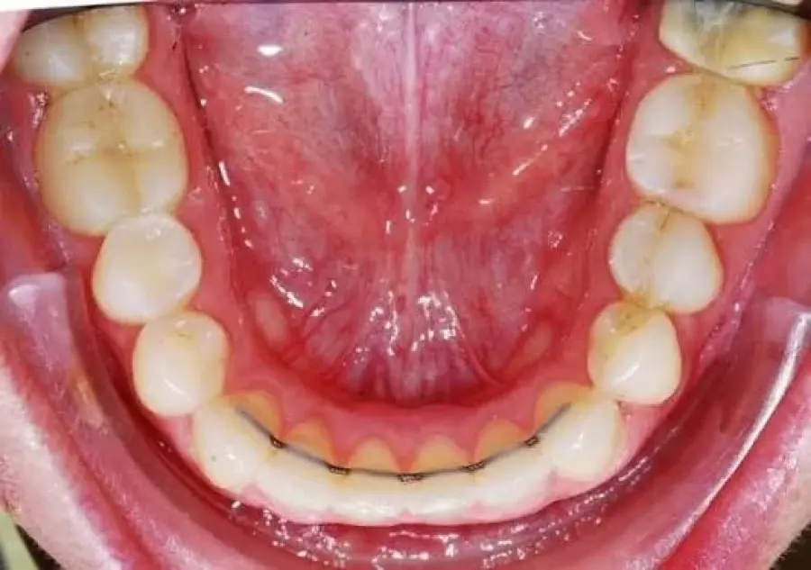
Šī ārste nepareizi uzstādīja man reteinerus pēc breketem. Zemāk esmu pievienojis fotoattēlus, kā tam vajadzētu būt un kā man uzstādīja retinerus. Viņa pievienoja pārāk daudz materiāla, lai nostiprinātu reteinerus. Tik daudz, ka materiāla bija vairāk nekā pašu zobu! Bija grūti runāt, man sāpēja zobi un smaganas. Nav jābūt speciālistam, lai saprastu, ka tā nevajadzētu būt. Kad es lūdzu viņai tos nomainīt vai noņemt, viņa kategoriski atteicās, smejoties par to, ka tā tam vajadzētu būt. Rezultātā administratore mani nosūtīja atrast citu klīniku un tur visu pārtaisīt.
Ja meklējat labu ortodontu, neiesaku doties pie Veronikas Avalejanas. Jūs iztērēsiet savu laiku, nervus un naudu!

Добавить комментарий

Положительное Нейтральное Негативное
Загрузить файлы