www.sudzibas.lv Sky Dream Clinic Плохой ортодонт Вероника Авалеян

Sky Dream Clinic - Плохой ортодонт Вероника Авалеян

Крайне не советую ортодонта Веронику Авалеян! Имейте ввиду, что вам придётся платить за её ошибки, а администраторы отправят вас в другую клинику, чтобы исправлять ошибки своих врачей!
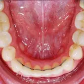
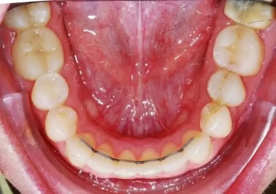
Данный врач мне не правильно установила ретейнеры после брекетов. Ниже прикреплю фото, как должно быть и что сделали мне. Она добавила слишком много материала для закрепления ретейнеров. Настолько много, что материала было больше, чем мои сами зубы! Трудно было говорить, мне болели зубы и дёсна. Не нужно быть специалистом, чтобы было понятно, что так не должно быть. На просьбу поменять или снять она категорически отказывалась и смеялась, что так и должно быть. В итоге администратор меня отправила искать другую клинику и там всё переделывать.
Если ищите хорошего ортодонта, то не советую идти к Веронике Авалеян! Потратите своё время, нервы и деньги!

Добавить комментарий

Положительное Нейтральное Негативное
Загрузить файлы